Urgences

Urgences orthodontiques

Sensibilité des dents

Suite à l’installation d’appareils orthodontiques, il est normal de ressentir de la sensibilité aux dents sur une période d’environ une semaine. Un antidouleur ainsi qu’une diète molle sont recommandés pendant les premiers jours.

Irritations des lèvres et des joues

Les appareils orthodontiques peuvent être irritants pour les joues et les lèvres. L’application d’une boule de cire orthodontique sur le ou les boîtiers causant l’irritation peut être nécessaire. Après un certain temps, une fine couche de kératine se formera au niveau des tissus mous ainsi, la douleur diminuera et le besoin de cire sera de moins en moins grand.


Lorsqu’il y a présence d’ulcères ou de blessures, un onguent tel que « Orabase » peut être appliqué afin de soulager la douleur. Il est également recommandé de se rincer la bouche avec de l’eau tiède salée ou avec un rince-bouche antiseptique tel que Colgate Peroxyl.

Boîtier décollé

Lorsqu’un boîtier se décolle et cause de l’inconfort, vous pouvez appliquer une boule de cire orthodontique en attendant de revenir nous voir afin de le recoller.

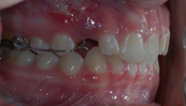
Boîtier dentaire en métal endommagé.
Boîtier dentaire en métal endommagé ou décollé.

Si cela se produit pendant la fin de semaine ou les vacances, vous devez appeler à la clinique et laisser un message dans la boîte vocale. La secrétaire vous contactera dès son retour.

Boîtier ouvert

Lorsqu’un boîtier est ouvert, le fil n’est plus retenu. Cela peut occasionner un déplacement de la dent. Si la porte d’un boîtier s’ouvre, poussez le fil dans le fond du boîtier, faites une pression sur la porte afin que celle-ci puisse se refermer.

Boîtier dentaire en métal ouvert et brisé.
Boîtier dentaire en métal ouvert.

Un fil qui pique

Lorsqu’un fil pique l’intérieur de la joue, couvrez l’extrémité avec une boule de ouate ou de cire et contactez-nous pour prendre un rendez-vous.

Un fil de broche défectueux qui accroche l'intérieur de la joue.
Boule de cire protectrice pour les broches.

Fil sorti du dernier boîtier

Il est possible que le fil sorte du dernier boîtier surtout en début de traitement, car celui-ci est de petit calibre et est plus flexible. Vous pouvez essayer de le replacer avec une pince à sourcils ou le couper avec un coupe-ongle si le fil pique la joue et blesse. Le calibre du fil augmentera au cours du traitement. Plus le calibre du fil est gros, plus il est difficile de le couper, il est alors recommandé de ne pas essayer de le couper à cause des risques de décollement des boîtiers. Seulement le premier et le deuxième fil orthodontique peuvent être coupés à la maison. Utilisez de la cire au besoin.

Fil de broche en métal endommagé et sorti du dernier boîtier orthodontique.
Fil de broche en métal sorti du dernier boîtier.

Chaîne élastique cassée ou décolorée

Une chaîne élastique est utilisée pour fermer des espaces entre les dents. Si celle-ci est cassée ou détachée des derniers boîtiers situés au fond de la bouche, vous pouvez la couper avec un petit ciseau ou un coupe-ongle. Contactez-nous par la suite afin de fixer un rendez-vous pour la remplacer.

Si la chaîne est cassée entre deux boîtiers, il n’y a rien que vous puissiez faire. Contactez-nous afin de prendre un rendez-vous pour remplacer celle-ci.

Une chaîne élastique peut changer de couleur due à la pigmentation des aliments. Certaines épices telles que le curcuma, le curry, le cumin ainsi que le vin rouge peuvent contribuer à colorer la chaîne élastique. Même si celle-ci a changé de couleur, cela ne l’empêche pas de faire son travail. Ce n’est que purement esthétique. Nous la changerons lors du prochain rendez-vous.

Urgences avec appareil d’expansion collé


Vue survolée d'un appareil dentaire rose.

Appareil décollé

Si vous sentez que votre appareil bouge, cessez de faire des tours, nettoyez bien autour de celui-ci et appelez-nous afin de fixer un rendez-vous.

Douleur au niveau du palais et du nez lors des activations

Il est normal de ressentir une pression à la base du nez et/ou sous les yeux après les activations. Si la douleur est trop grande, cessez les tours pour deux à trois jours et recommencez par la suite. Toutefois, si la douleur persiste, contactez-nous afin de fixer un rendez-vous.

Espace qui apparaît trop grand entre les deux incisives du haut

Un espace doit se créer entre les deux incisives lors des activations. Parfois celui-ci peut paraître trop grand. Soyez sans crainte, il diminuera dans les semaines à venir. Si cela vous inquiète, faites-nous parvenir une photo par courriel afin que nous prenions connaissance de la situation.

Difficultés à faire les activations

Si vous éprouvez de la difficulté à insérer la clé dans l’orifice de la vis, ceci est probablement dû au fait que lors de la dernière activation, le tour n’a pas été complété adéquatement. Il faut donc insérer à nouveau la clé dans l’orifice situé vers l’arrière du palais et pousser vers la gorge. Retirez la clé vers l’arrière en portant attention de ne pas défaire le tour.

Une clé pour appareil dentaire bleue dans l’orifice de la vis.
Une clé pour appareil dentaire bleue dans l’orifice de la vis faisant un tour.

Urgences avec appareil de traction amovible


Traction d’une dent

Il est recommandé de prendre des analgésiques lorsque la dent qui est en traction ainsi que celles autour causent de la douleur. Il faut également continuer de porter l’appareil, la douleur s’estompera graduellement.

Une bouche ayant une dent en traction.

 

Les ligatures métalliques rallongent dû au fait que les dents sortent graduellement. C’est pourquoi les rendez-vous se planifient aux 4 semaines afin de les couper. Si elles deviennent gênantes, contactez-nous afin de fixer un rendez-vous.

Urgences appareil de stimulation
de croissance (Forsus)


Un appareil dentaire de stimulation de croissance.

Irritation intérieure des joues

L’appareil de type Forsus utilisé comme stimulateur de croissance comporte des ressorts qui bougent et qui peuvent occasionner des douleurs ou des blessures à l’intérieur des joues. Appliquez de la cire orthodontique sur les boîtiers qui blessent, si nécessaire se rincer la bouche avec de l’eau tiède salée ou avec le rince-bouche Peroxyl de Colgate. Placez également les rouleaux de coton ou les cartons qui vous ont été remis lors de la mise en bouche de votre appareil à l’intérieur de vos joues pour la nuit. Une couche de kératine se formera et protégera les tissus mous.

Rince-bouche antiseptique Colgate Peroxyl dans une bouteille bleue.
Des rouleaux de coton et des cartons servant à limiter l'irritation intérieure des joues.

Tige débarquée du ressort

Lors d’une trop grande ouverture de la bouche, il est possible que la tige sorte du ressort. Pour la remettre en place, il suffit de pousser sur le ressort afin de le comprimer, ouvrir très grand la bouche et d’insérer la tige inférieure.

Tige métallique sortie du ressort dentaire.
Réparation de tige métallique sortie du ressort dentaire.

Ressort cassé

S’il survient un bris du ressort, vous pouvez attacher les deux parties du Forsus avec une soie dentaire et nous contacter afin de fixer un rendez-vous.

Réparation avec soie dentaire de tige métallique sortie du ressort dentaire.
Réparation de ressort de tige métallique endommagée.

Urgences en rétention

Fil de rétention décollé (derrière les dents)

Si vous ressentez un changement dans la position d’une dent ou que vous avez perdu un point de colle, contactez-nous afin de fixer un rendez-vous pour recoller votre fil. À moins d’un inconfort important, évitez de couper le fil.

Fil de rétention décollé derrière les dents.

Coquille de rétention

Il est important de porter les coquilles de rétention selon les recommandations lors de la mise en bouche. Si vous perdez vos coquilles, nous devrons reprendre des empreintes pour en faire des nouvelles. Des frais s’appliqueront.

Coquille de rétention transparente de marque Invisalign.

Coquilles qui blessent

Les rebords des coquilles peuvent blesser. Vous pouvez utiliser une lime à ongles afin de les polir.

Voûte palatine perdue ou cassée

La voûte palatine est nécessaire pour la rétention afin de conserver la largeur du maxillaire supérieur. On recommande le port de l’appareil 24 heures par jour la première année et douze heures par jour la seconde. Si par mégarde vous perdez votre appareil pendant la phase active de rétention, vous devez nous contacter afin d’en refaire un nouveau. Des frais s’appliqueront.

Une voûte palatine rose cassée.

Si la voûte est cassée dans la portion antérieure (à l’emplacement du fil de rétention), vous pouvez continuer de la porter. Elle sera encore fonctionnelle car elle maintiendra l’expansion de vos dents du haut. Si le bris survient sur les côtés de l’appareil, contactez-nous afin de fixer un rendez-vous pour reprendre une empreinte et refaire un nouvel appareil. Des frais s’appliqueront.

Urgences Invisalign

Coquilles qui blessent la gencive

Si les rebords de vos coquilles causent des blessures, utilisez une lime à ongles afin d’en polir les parties qui blessent. Vous pouvez également rincer votre bouche avec de l’eau tiède salée ou le rince-bouche Peroxyl de Colgate.

Une boule de cire orthodontique blanche sur le ou les boîtiers en métal pour aider à l'irritation.

Perte d’une coquille

Si vous perdez une coquille en cours de traitement, vous pouvez essayer de porter celle de la semaine suivante en vous assurant qu’elle est insérée parfaitement au fond. Sinon, remettez celle de la semaine précédente jusqu’à votre prochain rendez-vous.

Difficulté à insérer une coquille au fond

Si une coquille ne s’insère pas complètement au fond, il faut continuer à la porter et utiliser les Chewies (rouleaux de caoutchouc) en mordillant pendant 10 minutes, 3 fois par jour. S’il n’y a pas d’amélioration, remettre la coquille de la semaine précédente jusqu’à votre prochain rendez-vous.

Chewies (rouleaux de caoutchouc) dentaires.

Changement de couleur d’une coquille

Certains aliments ou épices peuvent occasionner un changement de coloration des coquilles. Pour éviter cette situation, utilisez la mousse Ever Smile que nous vous avons remise lors de la mise en bouche de vos coquilles. Suivez bien les instructions inscrites sur la boîte.

Mousse dentaire Ever Smile pour éviter le changement de coloration des coquilles.

Perte d’un attachement (bouton de colle sur la dent)

Si un attachement se décolle, continuez de porter vos coquilles et contactez-nous afin de fixer un rendez-vous pour le recoller.

Perte d’un attachement (bouton de colle sur la dent) dentaire.

Pied de page Aucoin Orthodontiste